┃Dental Care that Produces Beautiful Smiles┃

SMILE GALLERY

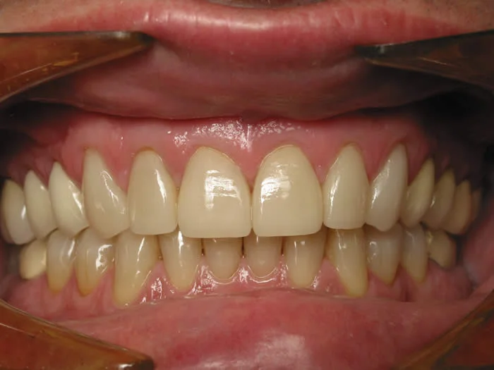
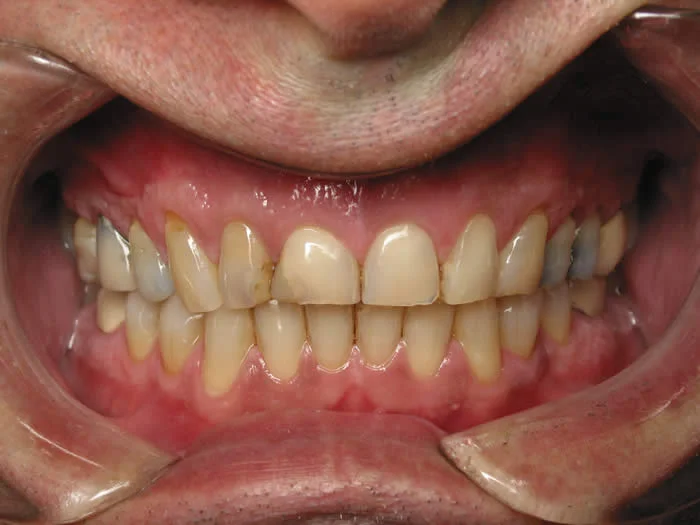
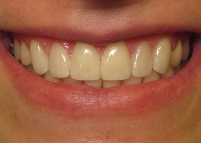
When it comes to the dental and oral health care we provide for the community of Cypress, TX, results matter. Our goal is to provide healthy, beautiful smiles for families throughout Cy-Fair, so that every family can laugh and smile together with confidence. See these remarkable before and after photos from real patients below.

If you are ready for your own smile transformation, call our office or complete our appointment request form to discover how our exceptional dentistry services and personal care can make you smile.


Before

Photo - Before

After

Photo - After

Before

After

After

Before

Before

After

1C24FD6A-6FBF-42B3-84CF-29A020259852@fios-router.home.jpeg